デジタル歯科医療の現場では、人間の手技による不確かな操作、術式をなるべく排除すべく、CAD/CAMシステムによる高精度の補助器具が開発されています。インプラント埋入手術などを確実に行うためにも「デジタルインプラント」の考え方は非常に有効です、弊社までご相談下さい。
IOSでインプラント技工にも対応
GEOスキャンボディを使用することで、アナログで印象するより精度を上げられ印象エラーを未然に防ぐことが可能となります。
ベリフィケーションインデックスを併用することで多数歯にも対応することができます。
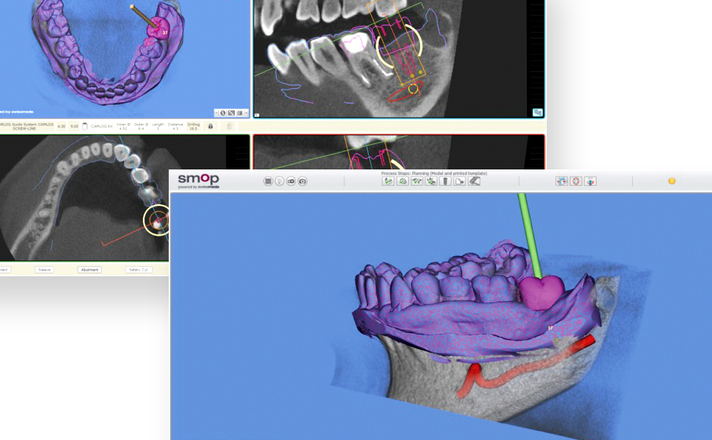
サージカルガイド

サージカルガイドは、予め作成されたラジオグラフィックガイドとCTスキャンによってシステム上で作成されます。
このテンプレートをインプラント埋入時に仕様することで確実なインプラント埋入術式が可能となります。
